Пропонуэмо вам дізнатися багато нового про ортопедичну стоматологію та секрети здорових зубів. І розповість нам про це Семенов А. К. - лікар-стоматолог харківської мережі стоматологічних клінік "МАСТЕР МЕД": http://mastermed.com.ua/, де ви можете вирішити усі свої проблеми із зубами.
Причини проблем з зубами можуть бути самими різними. Крім хвороботворних бактерій, на зуби негативно впливають:
травми:
- шкідливі звички;
- порушення обмінних процесів в організмі;
- спадковість;
- і т. д.
Ці фактори створюють сприятливі умови для тих чи інших хвороб ротової порожнини. Але що найчастіше приводить людину в кабінет стоматолога? Розглянемо все по порядку.
Карієс
Це найбільш поширене захворювання зубів, яке може стати причиною розвитку інших хвороб. Карієс - це процес поступового руйнування зубної емалі. Якщо його вчасно не зупинити, хвороба проникне у внутрішні тканини зуба і викличе запальні процеси. Таким чином з'являються умови для початку більш складних хвороб. Причиною розвитку карієсу є діяльність бактерій, що мешкають в зубному нальоті.
Кіста зуба
Небезпека цього захворювання зубів криється в його тривалому безсимптомному розвитку. Кіста утворюється на місці запального процесу, а на місці кісти з'являється набряк. Тільки після цього виникає біль. Чим раніше буде діагностована кіста, тим легше буде протікати лікування. Це є однією з причин необхідності регулярних профілактичних оглядів у стоматолога.
Одонтогенний періостит
Це захворювання може бути наслідком невилікуваного карієсу. Ознакою одонтогенного періоститу є припухлість щоки (флюс). Ця припухлість є наслідком запалення альвеолярного відростка, яке почалося в результаті попадання інфекції в глибокі тканини зуба.
Пульпіт
Як і одонтогенний періостит, пульпіт слідує за запущеним карієсом. Запалення доходить до пульпи зуба, де знаходяться чутливі нервові закінчення. Саме тому захворювання супроводжується сильним болем. Щоб уникнути серйозних ускладнень, лікування краще почати якомога раніше.
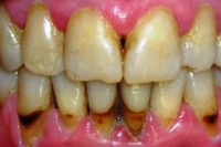
Зубний камінь
Це коричневі стійкі відкладення на поверхні зуба, появі яких передує утворення зубного нальоту. Найчастіше це відбувається через недостатню гігієну ротової порожнини.
Флюороз
Причина цього захворювання зубів - тривале і надмірне надходження в організм фтору. Найбільш поширеним джерелом сполук цього елемента є вода, яку п'ють і використовують для приготування їжі. Хвороба призводить до того, що зубна емаль стає крихкою, швидше стирається, втрачає блиск. При надмірному споживанні фтору є ризик розвитку остеопорозу і остеосклерозу.
Пародонтоз
До цього захворювання властиві порушення живлення ясен і кісткової тканини, а також ремінералізація емалі. Іноді настає ускладнення пародонтозу - пародонтит (запалення ясен). Якщо стоматолог вчасно не виявить пародонтоз, хворий зуб може бути втрачений назавжди.
Висновки
Щоб уникнути проблем із зубами - відвідуйте дантиста не рідше ніж раз на півроку, і дотримуйтесь гігієни порожнини рота!
Майстерня з ремонту побутової техніки: як вибрати
Как управлять деньгами: финансовая грамотность для начинающих
Ехать или остаться: сколько реально зарабатывают на стройке в Европе и Украине
Як обрати надійний інтернет-магазин електроінструменту в Україні
Гипергидроз и его влияние на качество жизни