Рентгеновское обследование используется для создания изображений внутренних органов или костей, чтобы помочь диагностировать различные травмы. Специальная машина испускает (выдает) небольшое количество ионизирующего излучения, которое проходит через ваше тело и падает на пленку для получения изображения.
Доза радиации, которую получает человек, зависит от области тела, которая будет исследована. Меньшие области, такие как руки, получат меньшую дозу, по сравнению с большей площадью, такой как позвоночник. В среднем доза радиации примерно такая же, как вы бы получали из внешней среды примерно за неделю.
Далее, мы рассмотрим кто проводит данное обследование и показания к его проведению, а расскажет нам об этом сотрудник радиологического центра "ADONIS", в котором непосредственно можно сделать рентген в Киеве.
Кто проводит рентгеновское обследование?
При проведении данного обследования типа участвуют врача:
- рентгенолог, который проводит экспертизу;
- радиолог (медицинский специалист), который интерпретирует рентгеновские снимки.
Когда проводят рентгеновское обследование?
Данный вид диагностики очень распространен. Ее применяют:
- Для диагностики переломов. Обнаружения сломанных костей является одним из наиболее распространенных применений этого теста;
- Для диагностики дислокаций. Рентгенологическое обследование может выявить аномальное расположение костей сустава;
- В качестве хирургического инструмента. Данный вид обследования может помочь хирургу точно провести операцию. Например, рентгеновские снимки, сделанные во время ортопедической хирургии, показывают, выровнен ли перелом или если имплантированное устройство (например, искусственный сустав), то находится ли оно в положении. Рентгеновские лучи могут также использоваться в других хирургических процедурах с той же целью;
- Для диагностики костных или суставных состояний (например, некоторых видов рака или артрита);
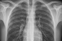
- Для диагностики состояния грудной клетки (например, пневмонии, рака легких, эмфиземы или сердечной недостаточности);
- Для обнаружения посторонних предметов (например, фрагментов пули или проглоченных монет).
Використання безшовних труб із нержавіючої сталі в енергетиці
CBD олія і спорт: антидопінг, ризики THC та безпечна стратегія використання
Сучасна мед. техніка для дому та закладів охорони здоров’я
Аромат як підпис: як знайти свій ідеальний парфум та створити незабутній образ
Переклад документів в Івано-Франківську — офіційно, точно, без затримок